長臉症候群外相:眼倦、鼻歪、窄臉、臉頰鬆垮、暴牙、齒列不整、下巴短縮等

長臉症候群除了上述外相的共同特徵外,生理上也有慢性鼻過敏、打鼾、胃脹氣、皮膚容易發疹紅癢等共同症狀。
口呼吸為什麼會造成長臉症後群?
但當變成口呼吸時,就會呈現嘴唇張開、舌頭低放的狀態。這對口腔結構的負面影響有三:
正常鼻呼吸時口腔狀態:舌挺頂著上顎前方

口呼吸時口腔狀態:舌低放前推門牙

鼻口呼吸時舌頭位置比較
A:鼻呼吸狀態,舌頭將上顎橫向撐開,使牙弓橫向發展,增寬鼻腔底部面積
B:口呼吸狀態,舌頭攤平往前,牙弓失去橫向發展張力,導致牙弓越縮越深

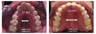
鼻口呼吸上顎寬度與牙弓深度比較
左:口呼吸,上顎成V型發展,前排齒列往前飆,牙弓窄深,鼻腔空間受到壓迫
右:鼻呼吸,上顎成U型發展,前排齒列圓順,牙弓寬敞,鼻腔發育有足夠空間

從上述鼻、口呼吸的對比可知,光是舌頭與空氣的力量,就足以改變整個口腔結構與鼻腔體積空間。鼻呼吸能維持齒列垂直發展,讓上顎牙弓與鼻腔空間寬敞。但口呼吸則會使齒列成V型發展,不僅門牙往前飆,齒列間也會因受到擠壓,致使牙齒參差不齊。
口呼吸導致鼻塞過敏
口呼吸除了影響牙齒門面外,從上述口呼吸形成的口腔結構來看,口呼吸還會使上顎牙弓往上拱,導致鼻腔體積縮小受迫。一方面鼻道左右擴張的機會變少,鼻道變窄於是影響鼻呼吸流量,另方面鼻道的高度也會削減,嚴重者會形成鼻中膈彎曲。由此可知,口呼吸會壓迫鼻腔發育空間,鼻子的通道會更加窘迫,更不利於鼻呼吸,結果只好加重口呼吸的習慣,由此便陷入鼻腔狹隘-鼻呼吸困難-口呼吸-上顎窄深-壓縮鼻腔的惡性循環中。
口呼吸對鼻子健康的負面影響不僅於此。以天演進化模式來說,生物器官都有「用進廢退」的機制,也就是器官越用就會越健康,不用廢置就會退化失能的道理。由於口呼吸者廢置了鼻子呼吸的機能,鼻腔因為沒有空氣流通,鼻腔黏膜就會增生變厚,鼻咽後方的腺樣體(Adenoids)也會退化並變得異常敏感。長久下來,鼻腔不但失去過濾空氣的機能,更會對空氣過度反應,只要一接觸到空氣,就容易過度分泌、充血、發癢。如果說鼻腔體積是硬體,鼻腔機能是軟體,那麼口呼吸對鼻子的健康可謂雙面刃,讓鼻子軟硬體都無法正常發展、運作。因此要治療鼻塞過敏,首要任務就是矯正口呼吸劣習!
口鼻呼吸空氣流通圖:口呼吸空氣直接下喉嚨、氣管,鼻呼吸空氣會繞經鼻道,經過層層過濾、濕潤、加溫後再往喉嚨氣管。在鼻呼吸的狀態下,鼻咽後方的腺樣體(Adenoids)會正常分泌抗體抵抗病菌,但若是口呼吸狀態,腺樣體不僅會受到壓迫,也會因空氣久未流經退化敏感,導致發炎肥大的情況。

口呼吸導致舌肥大易打鼾
從前面口呼吸形成的口腔構造可知,口呼吸會讓上顎牙弓往上拱,這個多出來的空間,剛好就是舌根的部位。由於軟組織會根據空間增生,因此舌根就會像軟性黏土一樣,填滿上顎牙弓多出來的空間。
此外,由於夜晚睡覺口呼吸時,整個口腔是呈現更開敞的狀態,此時肥大的舌根就會更加鬆垮,擋住呼吸道,導致睡眠呼吸中止症狀。有研究顯示,睡眠時若用口呼吸,呼吸道的阻力會比鼻呼吸增加2.5倍。因此要讓舌頭恢復結實狀態、不因過度肥大鬆垮阻擋呼吸道,保障睡眠時能呼吸暢通最自然的方式,就是防止口呼吸。


矯正口呼吸應該是先從口腔處理,排除口呼吸的可能並積極訓練鼻呼吸後,鼻塞過敏的症狀就能得到改善。長期有鼻過敏困擾的人,平時鼻子就容易塞住、動不動就打噴嚏流鼻水,要執行用鼻呼吸,實在是非常困難的要求,許多人不禁會問:「我的鼻子已經吸不到空氣了,要用鼻子呼吸實在很困難。」
空氣是最好的通鼻劑 空氣緩慢流通避免鼻內黏膜腫大發炎
鼻子需要空氣的流動才會暢通,空氣是最好的通鼻劑。因為有空氣流通,鼻內軟組織就比較不會增生、變厚,鼻內黏膜對空氣與過敏原的耐受度也會提升,而不會一受到刺激就腫大、發炎。因此,保健鼻子就是不斷地用空氣通鼻子,就算遇鼻過敏、鼻塞,也不放棄用鼻呼吸。
鼻子吸不到空氣,千萬不宜猛烈、快速吸氣,這樣不但會使鼻腔內襯組織受到更大的刺激,造成鼻涕分泌更多鼻道更腫脹之外,還會演變成過量呼吸模式,越吸越感到頭昏腦脹。
鼻塞時正確呼吸要減量 學習減量呼吸法
鼻塞時的正確呼吸方式,關鍵在於要減量,並且盡量用鼻子慢長呼氣,呼氣完後不要急著吸氣,此時記得舌頭用力往上顎頂。不需刻意吸氣,舌頭頂個幾秒鐘後,就會覺得自己胸口氣夠了,然後可以再開始鼻慢長呼氣。簡單的說,就是舌背用力貼住上顎,自然就會閉口用鼻呼吸了。持續以此方式呼吸,來回幾分鐘,就可以慢慢感覺到鼻子不再那麼腫脹難受,鼻腔裡的黏液也不再氾濫地分泌。

【減量呼吸法要訣】
鼻過敏患者不妨平時多練習用鼻呼吸,呼吸執行目標:呼氣長、吸氣少、讓舌頭受力。所以,以下練習要訣可以記下來:
1.鼻呼鼻吸:任何時候都只用鼻子吸氣,運動時可用嘴巴呼氣,但切勿用口吸氣。
2.力道要輕:呼氣時稍稍用腹部推一下,吸氣時則完全不用力,這才是真正的橫膈膜呼吸。
3.閉口抵舌:呼氣時,閉口全然放鬆,吸氣時,舌頭用力頂上顎。
4.節奏自在:不用刻意控制多長多短,快慢由身體決定,但比例上呼多吸少。
不要小看鼻子的自癒能力,只要用對方式呼吸,鼻呼吸機能也會恢復健全。
【健康小叮嚀】
呼吸只透過鼻子,並且維持最自在、舒適的速度和力量去完成,這樣就能逐漸重拾鼻腔基本機能,不再依賴口腔呼吸,鼻過敏問題也能達到緩解。



